Elbow fracture

Fractured elbow in a child (ulnar shaft) with joint effusion of elbow

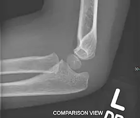
Normal elbow in same child, other side
Elbow fractures are any broken bone around the elbow joint.They include among others:[1]
The terrible triad of the elbow (not to be confused with the terrible triad of the knee) is a combination of:[2]
- A fracture of the head of radius
- A fracture of the coronoid process of the ulna
- Humeroulnar dislocation (generally posterior or posterolateral)
The terrible triad of the elbow is confers joint instability and a major risk of developing osteoarthritis.[2]
References
- ↑ Daniel K Nishijima. "Elbow Fracture". Archived from the original on 10 December 2014. Retrieved 9 December 2014.
- 1 2 Seijas R, Ares-Rodriguez O, Orellana A, Albareda D, Collado D, Llusa M (2009). "Terrible triad of the elbow" (PDF). J Orthop Surg (Hong Kong). 17 (3): 335–9. doi:10.1177/230949900901700319. Archived (PDF) from the original on 2022-03-20. Retrieved 2021-08-30.
This article is issued from Wmcloud. The text is licensed under Creative Commons - Attribution - Sharealike. Additional terms may apply for the media files.